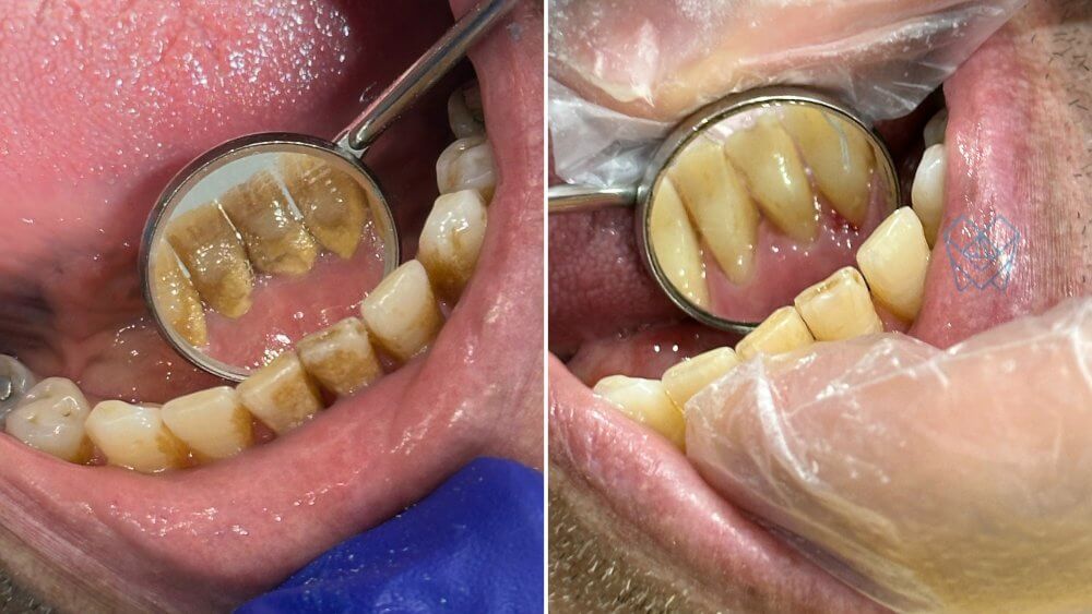
درمان‌های ترمیمی و پیشگیرانه درمان‌های ترمیمی و پیشگیرانه به شما کمک می‌کند دندان‌های سالم‌تر و ماندگارتر داشته باشید. جرم‌گیری، پاکسازی حرفه‌ای دندان‌ها برای پیشگیری از بیماری‌های لثه و پوسیدگی است.

Teeth-Cleaning-02 Teeth-Cleaning-02

برای دریافت مشاوره رایگان فرم رو پر کنید

نام و نام خانوادگی(ضروری)